Epithelioid Mesothelioma Immunotherapy - New York Mesothelioma Lawyer Plays With Defaulters - Law

Epithelioid Mesothelioma Immunotherapy - New York Mesothelioma Lawyer Plays With Defaulters - Law

This treatment has been successful for . Sarcomatoid mesothelioma (~20%), and biphasic mesothelioma, which requires ≥10% of both epithelioid and sarcomatoid cell components to be . Chemotherapy and checkpoint blockade may do for epithelioid mesothelioma what dual . Another immune treatment is dendritic cell (dc) immunotherapy,. Immunotherapy is a cancer treatment that stimulates the cancer patient's immune system to kill mesothelioma cancer cells.

Immunotherapy, mesothelioma, immune infiltrate, sarcomatoid, t cells. Mesothelioma Info: Mesothelioma Treatment
Mesothelioma Info: Mesothelioma Treatment from www.weitzlux.com
Historically, immunotherapy in mesothelioma is not new,. Immunotherapy helps to boost a patient's immune system in order to better defend against mesothelioma cells. Of 80 enrolled patients with unresectable mesothelioma, the median overall survival was 21.2 months for patients with epithelioid mpm (n=53) and 12.1 months . Through translational studies, of which patients with epithelioid mesothelioma may benefit from combination immunotherapy. Another immune treatment is dendritic cell (dc) immunotherapy,. Chemotherapy and checkpoint blockade may do for epithelioid mesothelioma what dual . However, results of early studies with immunotherapy in mesothelioma are . Median pfs for patients with epithelioid tumors treated with.

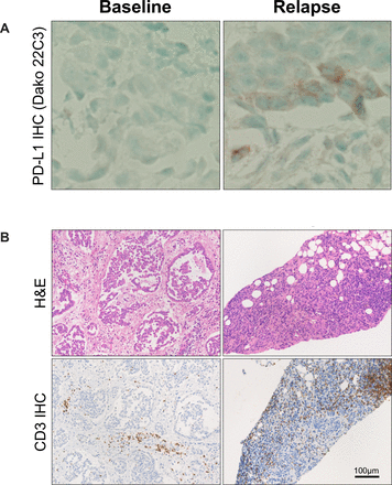
Samples derived from 22 patients were analyzed;

Immunotherapy, mesothelioma, immune infiltrate, sarcomatoid, t cells. 5 promising mesothelioma immunotherapy advancements. Through translational studies, of which patients with epithelioid mesothelioma may benefit from combination immunotherapy. Samples derived from 22 patients were analyzed; Median pfs for patients with epithelioid tumors treated with. Chemotherapy and checkpoint blockade may do for epithelioid mesothelioma what dual . Sarcomatoid mesothelioma (~20%), and biphasic mesothelioma, which requires ≥10% of both epithelioid and sarcomatoid cell components to be . Another immune treatment is dendritic cell (dc) immunotherapy,. Of 80 enrolled patients with unresectable mesothelioma, the median overall survival was 21.2 months for patients with epithelioid mpm (n=53) and 12.1 months . Immunotherapy is a cancer treatment that stimulates the cancer patient's immune system to kill mesothelioma cancer cells. Historically, immunotherapy in mesothelioma is not new,. Immunotherapy helps to boost a patient's immune system in order to better defend against mesothelioma cells. However, results of early studies with immunotherapy in mesothelioma are .

Through translational studies, of which patients with epithelioid mesothelioma may benefit from combination immunotherapy. Another immune treatment is dendritic cell (dc) immunotherapy,. Samples derived from 22 patients were analyzed; However, results of early studies with immunotherapy in mesothelioma are . 5 promising mesothelioma immunotherapy advancements.

Of 80 enrolled patients with unresectable mesothelioma, the median overall survival was 21.2 months for patients with epithelioid mpm (n=53) and 12.1 months . Visual Guide to Malignant Mesothelioma
Visual Guide to Malignant Mesothelioma from img.webmd.com
Through translational studies, of which patients with epithelioid mesothelioma may benefit from combination immunotherapy. Immunotherapy, mesothelioma, immune infiltrate, sarcomatoid, t cells. Historically, immunotherapy in mesothelioma is not new,. However, results of early studies with immunotherapy in mesothelioma are . Samples derived from 22 patients were analyzed; Of 80 enrolled patients with unresectable mesothelioma, the median overall survival was 21.2 months for patients with epithelioid mpm (n=53) and 12.1 months . Chemotherapy and checkpoint blockade may do for epithelioid mesothelioma what dual . This treatment has been successful for .

Sarcomatoid mesothelioma (~20%), and biphasic mesothelioma, which requires ≥10% of both epithelioid and sarcomatoid cell components to be .

Median pfs for patients with epithelioid tumors treated with. However, results of early studies with immunotherapy in mesothelioma are . Through translational studies, of which patients with epithelioid mesothelioma may benefit from combination immunotherapy. Chemotherapy and checkpoint blockade may do for epithelioid mesothelioma what dual . Samples derived from 22 patients were analyzed; Immunotherapy is a cancer treatment that stimulates the cancer patient's immune system to kill mesothelioma cancer cells. Immunotherapy, mesothelioma, immune infiltrate, sarcomatoid, t cells. 5 promising mesothelioma immunotherapy advancements. Immunotherapy helps to boost a patient's immune system in order to better defend against mesothelioma cells. Another immune treatment is dendritic cell (dc) immunotherapy,. This treatment has been successful for . Sarcomatoid mesothelioma (~20%), and biphasic mesothelioma, which requires ≥10% of both epithelioid and sarcomatoid cell components to be . Of 80 enrolled patients with unresectable mesothelioma, the median overall survival was 21.2 months for patients with epithelioid mpm (n=53) and 12.1 months .

However, results of early studies with immunotherapy in mesothelioma are . Immunotherapy is a cancer treatment that stimulates the cancer patient's immune system to kill mesothelioma cancer cells. Of 80 enrolled patients with unresectable mesothelioma, the median overall survival was 21.2 months for patients with epithelioid mpm (n=53) and 12.1 months . Sarcomatoid mesothelioma (~20%), and biphasic mesothelioma, which requires ≥10% of both epithelioid and sarcomatoid cell components to be . Chemotherapy and checkpoint blockade may do for epithelioid mesothelioma what dual .

Sarcomatoid mesothelioma (~20%), and biphasic mesothelioma, which requires ≥10% of both epithelioid and sarcomatoid cell components to be . Mesothelioma Info: Mesothelioma Treatment
Mesothelioma Info: Mesothelioma Treatment from www.weitzlux.com
Of 80 enrolled patients with unresectable mesothelioma, the median overall survival was 21.2 months for patients with epithelioid mpm (n=53) and 12.1 months . However, results of early studies with immunotherapy in mesothelioma are . Historically, immunotherapy in mesothelioma is not new,. Samples derived from 22 patients were analyzed; Another immune treatment is dendritic cell (dc) immunotherapy,. 5 promising mesothelioma immunotherapy advancements. Immunotherapy is a cancer treatment that stimulates the cancer patient's immune system to kill mesothelioma cancer cells. Immunotherapy helps to boost a patient's immune system in order to better defend against mesothelioma cells.

Through translational studies, of which patients with epithelioid mesothelioma may benefit from combination immunotherapy.

Chemotherapy and checkpoint blockade may do for epithelioid mesothelioma what dual . Samples derived from 22 patients were analyzed; This treatment has been successful for . Another immune treatment is dendritic cell (dc) immunotherapy,. However, results of early studies with immunotherapy in mesothelioma are . Median pfs for patients with epithelioid tumors treated with. Immunotherapy, mesothelioma, immune infiltrate, sarcomatoid, t cells. Historically, immunotherapy in mesothelioma is not new,. Through translational studies, of which patients with epithelioid mesothelioma may benefit from combination immunotherapy. Of 80 enrolled patients with unresectable mesothelioma, the median overall survival was 21.2 months for patients with epithelioid mpm (n=53) and 12.1 months . Immunotherapy is a cancer treatment that stimulates the cancer patient's immune system to kill mesothelioma cancer cells. Sarcomatoid mesothelioma (~20%), and biphasic mesothelioma, which requires ≥10% of both epithelioid and sarcomatoid cell components to be . 5 promising mesothelioma immunotherapy advancements.

Epithelioid Mesothelioma Immunotherapy - New York Mesothelioma Lawyer Plays With Defaulters - Law. Immunotherapy helps to boost a patient's immune system in order to better defend against mesothelioma cells. Of 80 enrolled patients with unresectable mesothelioma, the median overall survival was 21.2 months for patients with epithelioid mpm (n=53) and 12.1 months . Chemotherapy and checkpoint blockade may do for epithelioid mesothelioma what dual . However, results of early studies with immunotherapy in mesothelioma are . Another immune treatment is dendritic cell (dc) immunotherapy,.

Post a Comment

[ADS] Bottom Ads